Klinisk case: Tips og tricks til cementering af facader fra en ekspert

Målet med fremstilling af facader er at opnå det smukke, langtidsholdbare smil, som dine patienter ønsker. Adhæsiv cementering er teknikfølsom – og den er afgørende for langsigtet æstetik og holdbarhed. Ikke blot er keramik skrøbeligt og tyndt, det er også en højæstetisk arbejdsgang, hvor enhver fejl vil være synlig for patienten.
Selve cementeringen bør være en behagelig oplevelse for patienten – og det betyder, at man skal følge en enkel, men effektiv cementeringsprotokol.
Denne protokol kan opdeles i syv trin
1. Rengør præparationen
2. Indprøvning for kontrol af pasform og æstetik
3. Isolation og endelig indprøvning
4. Forbehandling af facade
5. Forbehandling af præparation
6. Applicering af cement, indsætning og initial fjernelse af overskud
7. Lyspolymerisering og afsluttende fjernelse af overskud

Mekanisk rengøring af præparationerne
Først fjernes de provisoriske restaureringer og eventuel cement, og området rengøres grundigt, da evt. rester kan påvirke pasformen og farven (fig 1). Pimpsten kan anvendes til mekanisk rengøring af præparationen. Væggene og okklusale områder kan rengøres med en lille børste, men de sensitive marginale områder tæt på gingiva bør i stedet rengøres med en skumpellet.
Brug aldrig natriumbikarbonatbaserede rensemidler eller pulvere – de kan hæmme bondingen. Alternativt kan man bruge 3M™ Clinpro™ Glycine Prophy Powder. I modsætning til andre pulvere indeholder det glycin og ikke natriumbikarbonat, hvilket gør det sikkert at bruge.

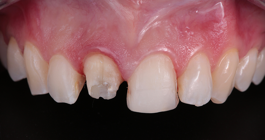
Første try-in: Find det perfekte match
Før facaden kan cementeres, er det vigtigt at dobbelttjekke, at alt passer godt og opfylder patientens æstetiske og funktionelle krav. Ligesom med tøj betyder dette at prøve facaderne i munden. Selvom det kan virke ligetil, er der flere faktorer at overveje under try-in proceduren.
Hver facade skal placeres både alene og sammen for at kontrollere pasformen og de approximale kontakter (fig 2).

Selvom facaderne kan placeres tørt ovenpå præparationen, vil dette kun bekræfte pasformen og ikke nødvendigvis gengive restaureringens endelige farve. Den endelige farve på restaureringen er kombinationen af flere farver – præparationen, facaden selv og resincementen imellem – alt i et vådt, fuldt hydreret miljø. Derfor anbefales det at komme en dråbe vand mellem præparationen og facaden for at give en mere nøjagtig lystransmission. Endnu bedre, brug en try-in pasta.
Try-in pastaer har nogle fordele sammenlignet med almindeligt vand: De hjælper ikke kun med at holde facaderne på plads for nemmere vurdering af marginal integritet og kontakt, men de giver også mulighed for at se og vælge den korrekte farve på resincementen. Ved tykkere facader vil farven på resincementen ikke betyde så meget. Ved tyndere facader (0,3 mm til 0,5 mm) kan cementen dog påvirke den endelige æstetik.
Derfor er det vigtigt at have flere farver til rådighed. Heldigvis kommer mange resincementer, som fx 3M™ RelyX™ Veneer Cement og 3M™ RelyX™ Universal Resincement, med matchende try-in pastaer (fig 3), så du nemt kan teste farven inden cementering.
Hvis du for eksempel ønsker en højere value, et hvidere resultat, kan du indprøve med en hvid opaque try-in pasta og den tilsvarende cementfarve vil give det samme resultat. Hvis denne farve ikke er den rigtige, kan facaden fjernes, skylles og der kan indprøves med en ny farve.

Isolation og endelig try-in
Skyl, tørlæg og isoler med kofferdam (fig. 4), og hvis nødvendigt anvendes pochepakningstråd eller retraktionspasta. Isolation er vigtigt i forbindelse med cementering, da det forbedrer adgang, synlighed og hjælper med at opretholde et rent og tørt arbejdsfelt.

Udfør en afsluttende indprøvning med kofferdam (fig. 5) for at se, om indsætningsvejen og præparationsgrænserne på nogen måde interfererer med tråden, kofferdam eller klemmerne. Hvis nødvendigt, juster isolation for at sikre, at alt vil fungere under cementering.

Forbehandling af facade
For at kunne vælge den korrekte forbehandling og cement er det væsentligt at vide, hvilket restaureringsmateriale din laboratorietekniker har anvendt, og om nogen forbehandling allerede er udført af laboratoriet. Dette vil både guide dig mod den bedst mulige bonding og hjælpe dig med at undgå enhver underbehandling eller unødvendig overbehandling. Anvendelse af en guide, såsom 3M Success Simplified Cementation Guide, kan hjælpe med at optimere kommunikationen med laboratoriet og sikre, at du har alle de oplysninger, du behøver for cementering.
Forskellige materialer kræver forskellige forbehandlinger, og det er vigtigt at vide, hvilken der er bedst til den aktuelle case. Glaskeramiske materialer som lithiumdisilikat eller feldspatiske glaskeramiske facader bør ætses med flussyre for at skabe mikroretention i materialet (fig 6). På den anden side, oxidkeramiske materialer, der ikke har ætsebare glaskomponenter, som fx zirkonia, eller resinbaserede materialer, bør sandblæses med aluminiumoxid og efterfølgende rengøres med alkohol.

Glaskeramiske facader skal rengøres omhyggeligt efter ætsning for at fjerne siliciumfluoridsalte, der er udfældet på den ætsede overflade. Dette kan gøres ved at skylle grundigt med vandspray, indtil alle hvide rester er fjernet (fig 7).

Men hvad hvis laboratoriet allerede har foretaget ætsning eller sandblæsning, før de leverede restaureringerne til dig? I dette tilfælde kræves en mere grundig rengøringsprotokol for at fjerne enhver kontaminering, der måtte være sket under try-in. For glaskeramiske restaureringer kan dette opnås ved at rense med fosforsyre i et minut, før der skylles med vand. Fosforsyre bør derimod ikke bruges på zirkonia, da det hæmmer bindingen. Her kan natriumhypochlorit (NaOCl) eller dedikerede rengøringsmidler bruges til at fjerne try-in kontaminering fra allerede sandblæste bondingsflader.
Når den er skyllet, skal den glaskeramiske facade tørblæses, før silan påføres (1). Mange silanmuligheder er tilgængelige, fra selvstændige silanprimere til universelle primere med en silankomponent til universelle adhæsiver, der indeholder silan, såsom 3M™ Scotchbond™ Universal Plus Adhæsiv. Sidstnævnte har en dokumenteret silansammensætning, der muliggør bindingsstyrke til glaskeramik på niveau med klassiske separate silanprimere (2). Ud over silankomponenten indeholder Scotchbond Universal Plus Adhæsiv også MDP til priming af zirkonia facader.
Efter at have gnubbet Scotchbond Universal Plus Adhæsiv i 20 sekunder (fig 8), lufttørres i 5 sekunder, indtil alt opløsningsmiddel er fjernet, og derefter beskyttes den coatede overflade mod lys, indtil cementen appliceres.

Forbehandling af præparation
Først skal alle områder uden emalje, såsom dentin eller kroneopbygning af komposit eller dentin, sandblæses med aluminiumoxid og renses (fig 9).

Dernæst skal al emalje ætses med fosforsyre, fx 3M™ Scotchbond™ Etchant, i 15 sekunder, skylles grundigt i mindst 15 sekunder og tørres (fig. 10).

Nu er det tid til at applicere det bondingssystem, der anbefales til den anvendte cement, fx Scotchbond Universal Plus Adhæsiv til RelyX Veneer Cement eller RelyX Universal Resin Cement.

Efter at have beskyttet nabotænder med PTFE tape, gnubbes Scotchbond Universal Plus Adhæsiv ind i 20 sekunder og derefter lufttørres, indtil alt opløsningsmiddel er fjernet, og adhæsivet ikke længere bevæger sig (fig 11, 12). Korrekt appliceret adhæsiv vil danne en blank film over hele bondingfladen. Undlad at lyshærde adhæsivet for at undgå utilsigtet at ende med et tykkere lag end ønsket.

Applicering af cement
En æstetisk adhæsiv resincement med et separat bindingssystem er den foretrukne cement til langtidsholdbare æstetiske restaureringer som facader, både på grund af deres ikke-retentive præparationsdesign og at de primært er i emalje. Denne type adhæsiv resincement giver fremragende bindingsstyrke og er også farvestabil. Der er to typer at vælge imellem: en lyshærdende og en dualhærdende resincement.
Lyshærdende resincementer som RelyX Veneer Cement, er gold standard til facader, da de har ubegrænset arbejdstid. Placering af facader kan være udfordrende, og at kunne tage sig tid til at få det gjort rigtigt er fordelagtigt. Det er vigtigt at huske, at lyshærdende resincementer skal hærdes fuldstændigt for at opnå disse egenskaber, hvilket kan være udfordrende i tilfælde af tykkere facader. Alternativt kan du anvende en dualhærdende resincement, som RelyX Universal Resin Cement, som giver en stærk bonding og høj æstetik, men har en begrænsing mht. tid. Hvis du ikke fremstiller mange facader og ikke har brug for en decideret facadecement på klinikken, er dualhærdende resincementer et godt alternativ, da de har mange andre indikationer.
Med dette i tankerne, og med tænder og facader forbehandlet, kan du applicere din valgte resincement på indersiden af facaden. Men hvor meget skal du påføre?
Sandheden er, at det ikke handler om mængde, men snarere om ensartethed. Sørg blot for, at der er nok til at dække hele overfladen af keramikken jævnt (fig 13). Der vil altid være overskud, men overskud kan fjernes – luftbobler eller mellemrum mellem facaden og præparationen kan ikke.
Cementering
Nu skal facaderne indsættes. Hver tandlæge har sin egen metode, placering én ad gangen eller alle på én gang. Når jeg skal cementere flere facader, starter jeg altid med de to centrale incisiver, derefter de to laterale, efterfulgt af hjørnetænderne og så videre. Hvis der er et sted, du ikke må lave en fejl, er det ved de centrale incisiver; de er de mest synlige, så det er det bedste sted at starte.
Personligt placerer jeg facaden på tanden og begynder at fjerne overskuddet med en skumpellet. Jeg bruger derefter et instrument til at få facaden på plads med et let tryk og fjerner overskuddet, der flyder ud omkring præparationsgrænsen, med tandtråd. Når alle facaderne er placeret, og det meste overskud er fjernet, skal de stabiliseres – og så skal der lyspolymeriseres.

Endelig polymerisering og fjernelse af overskud
Som ved mange restaureringsprocedurer er den afsluttende lyspolymerisering afgørende for facaders langtidsholdbarhed, funktion og æstetik – og kan være forskellen mellem succes og utilfredse patienter.
En utilstrækkelig polymerisering kan medføre misfarvning på cementspalten eller endda debonding. For at opnå en fuldstændig polymerisering er det vigtigt at kende kravene til dine materialer, bruge korrekt teknik og sikre, at din polymeriseringslampe er i orden. Enhver tandlæge bør have en pålidelig, højkvalitets polymeriseringslampe, fx 3M™ Elipar™ DeepCure-S LED Polymeriseringslampe og bør teste den regelmæssigt for at sikre, at den giver den korrekte output.
Før lyspolymerisering anvender jeg en glyceringel på præparationsgrænserne for at eliminere iltinhibitionslaget og sikre en fuldstændig lyspolymerisering. Jeg lyspolymeriserer gennem gelen i 20 sekunder på den palatinale og buccale side (fig 14). Ved facader afhænger polymeriseringen af tykkelsen på materialet. En tykkere, mere opaque facade kan kræve en længere polymeriseringtid.

Efter lyspolymerisering skal eventuel overskydende cement fjernes (fig 15), før præparationsgrænserne poleres med gummipolisher og skiver.
Konklusion
Hvert trin ved fremstilling af facader er afgørende for resultatet, men cementering er kulminationen på alle disse anstrengelser. Og det kan være udfordrende. Min erfaring er at vejen til succes er at følge de ovenfor anbefalede retningslinjer, lære dine materialer at kende, udvikle en klar protokol og bruge gennemprøvede materialer. Sammen kan disse trin give fremragende resultater – og tilfredse patienter (fig 16).
Kilder
1. Alex, Gary, DMD. "Preparing Porcelain Surfaces for Optimal Bonding." Aegis Dental Network, 1 Feb. 2008.
2. Van Meerbeck, et al. "Optimizing glass-ceramic bonding incorporating new silane technology in an experimental universal adhesive formulation." Dent Mater. 2021 37(5) 894-904.