Case: Maskering af white spot-læsioner med Icon

White spot-læsioner er tidlige tegn på demineralisering under et tilsyneladende intakt emaljeoverfladelag. Disse tidlige emaljelæsioner er kendetegnet ved et hvidligt udseende som følge af en forøget porøsitet i læsionen pga. mineraltab [1].
I tilfælde af dårlig mundhygiejne eller nedsat spytfunktion, kan der selv på tændernes bukkale flader ske en plakophobning, som kan resultere i white spot-læsioner [2]. Især hos patienter, der har gennemgået ortodontisk behandling med fast apparatur, kan der opstå white spot-læsioner pga. vanskelighederne ved at renholde områderne tæt på brackets. Adskillige kliniske undersøgelser peger på en høj forekomst af white spots efter barcketfjernelse [3, 4].
Med forebyggende strategier, såsom forbedring af mundhygiejnen og applicering af fluor, er der en god chance for at standse tidlige læsioner. Selvom cariesprogressionen kan standses, ændrer dette dog ofte ikke på det hvidlige udseende, idet remineraliseringen er overfladisk, og der stadig er en porøs læsion nedenunder [2]. Derudover kan misfarvninger indkorporeres i læsionen og resultere i et brunligt udseende (brune pletter), hvilket ofte fører til endnu flere æstetiske problemer. Derfor kan tandlægen blive mødt med patientens ønske om genskabelse af æstetikken. Behandling af ikke-kaviterede white spots kan omfatte tandblegning, mikroabrason, kompositfyldninger eller tilmed protetiske restaureringer som facader eller kombinationer af disse behandlinger [5]. Ofte er disse muligheder ret invasive, og kan medføre tab af tandsubstans. Som et mikroinvasivt alternativ er det muligt at bruge cariesinfiltration (Icon) med henblik på at forebygge yderligere cariesprogression. Herved opnås den ekstra gunstge effekt at læsionernes hvidlige udseende maskeres. Porøsiteterne i læsionen lukkes med infiltranten, hvorfor denne behandling ikke kun bruges til at standse emaljelæsioner men også til at forbedre det æstetiske udseende af bukkale white spots.
Klinisk caserapport
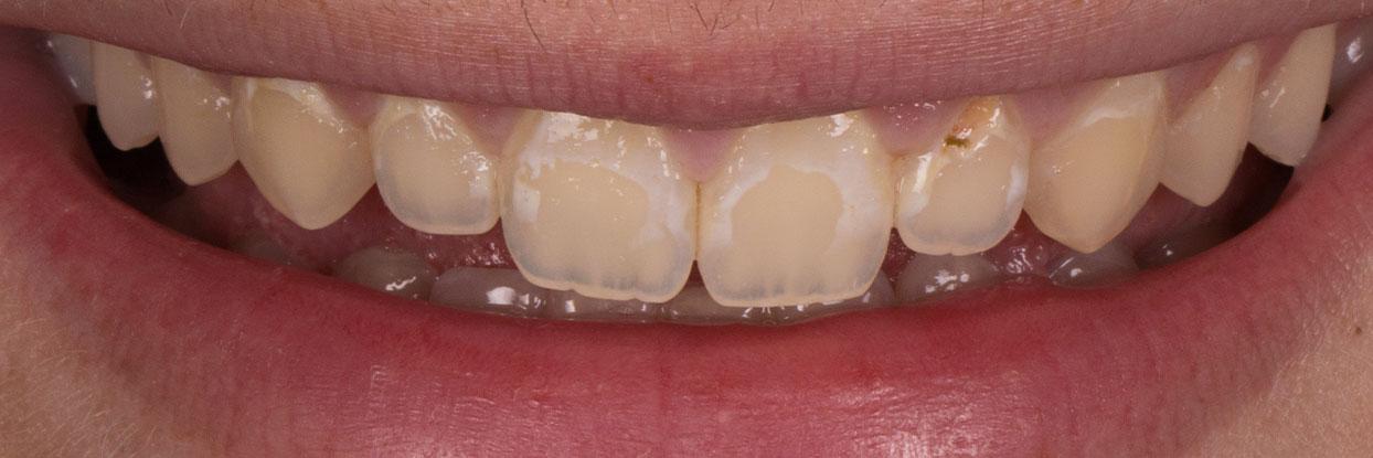
En 19-årig mandlig patient klagede over udseendet af sine fortænder i overkæben grundet hvidlige læsioner på de vestibulære overflader. Han havde fået foretaget en ortodontisk behandling med fast apparatur i ungdomsårene, og da brackets blev fjernet, blev white spot-læsionerne synlige. Med henblik på at honorere patientens ønske om en æstetisk forbedring foreslog vi en Icon-behandling for at maskere læsionerne.
Diskussion
Manifestationen af white spot-læsioner efter fjernelse af brackets er en almindelig bivirkning pga. den ofte hæmmede mundhygiejne tæt på brackets under den ortodontiske behandling [3, 4, 6]. Efterhånden som patienternes æstetiske krav opstår, skal tandlægerne ikke kun sørge for at forhindre yderligere progression af læsionerne, men også forholde sig til patientens ønsker om at maskere disse læsioner, som kan være æstetisk kompromitterende. I modsætning til andre behandlingsmuligheder, såsom kompositfyldning, mikroabrasion eller blegning, udgør Icon et mikroinvasivt behandlingsværktøj (uden at bore), som ikke alene kan stoppe læsionsprogressionerne, men også maskere det hvidlige udseende af white spot-læsionerne. I tilfælde af tilstødende kaviterede læsioner kan Icon med succes kombineres med en konventionel fyldning i dette område.
Når den kaviterede læsion er begrænset til emalje, øger infiltranten endda adhæsivets bindingsstyrke [7].
Fyldningsproceduren og infiltrationen kan kombineres i ét trin.
Når kavitationen involverer dentin, skal fyldningen udføres før Icon-behandlingen, idet saltsyren i Icon Etch kan føre til et fald i adhæsivets bindingsstyrke til dentin [8].
Konklusion
White spot-læsioner kan maskeres effektivt med Icon. Produktet er mikro-invasivt på de behandlede emaljeoverflader, forhindrer yderligere demineralisering og er let at håndtere og applicere. I tilfælde af white spot-læsioner, der opstår i umiddelbar nærhed af kaviterede læsioner, kan Icon med succes kombineres med en konventionel kompositfyldning.
Key Learnings
- Infiltrationsbehandling kan kombineres med direkte fyldningsterapi, når der både er white spots og kaviteret carieslæsion til stede på emaljen.
- Når den kaviterede læsion er begrænset til emaljen, øger infiltranten adhæsivets bindingsstyrke. Fyldningsproceduren og infiltrationen kan kombineres i ét trin.
- Når kavitationen involverer dentin, skal fyldningen udføres før Icon-behandlingen, eftersom saltsyren i Icon Etch kan føre til et fald i adhæsivets bindingsstyrke til dentin.
Se mange flere cases
I ICON CASEBOOK ...
... kan du se mere en 20 forskellige cases, der tydeligt demonstrerer de muligheder, som Icon-infiltration tilbyder for glatflader.
Du finder casebooken på Icon websitet: www.dmg-dental.com/icon-casebook
Referencer
1. Lee JH, Kim DG, Park CJ, Cho LR. Minimally invasive treatment for esthetic enhancement of white spot lesion in adjacent tooth. The journal of advanced prosthodontics. 2013;5(3):359-63.
2. Paris S, Meyer-Lueckel H. Masking of labial enamel white spot lesions by resin infiltration – a clinical report. Quintessence international. 2009;40(9):713-8.
3. Gorelick L, Geiger AM, Gwinnett AJ. Incidence of white spot formation after bonding and banding. American journal of orthodontics. 1982;81(2):93-8.
4. Hadler-Olsen S, Sandvik K, El-Agroudi MA, Ogaard B. The incidence of caries and white spot lesions in orthodontically treated adolescents with a comprehensive caries prophylactic regimen – a prospective study. European journal of orthodontics. 2012;34(5):633-9.
5. Kim S, Kim EY, Jeong TS, Kim JW. The evaluation of resin infiltration for masking labial enamel white spot lesions. International journal of paediatric dentistry/the British Paedodontic Society [and] the International Association of Dentistry for Children. 2011;21(4):241-8.
6. Richter AE, Arruda AO, Peters MC, Sohn W. Incidence of caries lesions among patients treated with comprehensive orthodontics. American journal of orthodontics and dentofacial orthopedics: official publication of the American Association of Orthodontists, its constituent societies, and the American Board of Orthodontics. 2011;139(5):657-64.
7. Jia L, Stawarczyk B, Schmidlin PR, Attin T, Wiegand A. Effect of caries infiltrant application on shear bond strength of different adhesive systems to sound and demineralized enamel. J Adhes Dent. 2012 Dec;14(6):569-74.
8. Jia L, Stawarczyk B, Schmidlin PR, Attin T, Wiegand A. Influence of caries infiltrant contamination on shear bond strength of different adhesives to dentin. Clinical oral investigations. 2013;17(2):643-8.