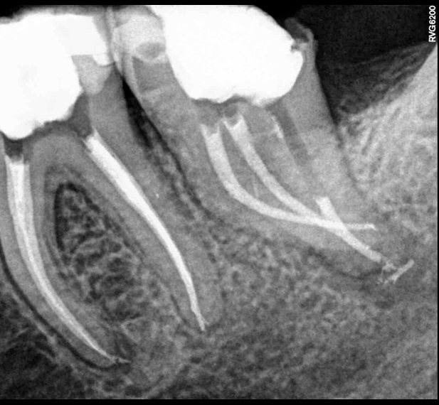
Case: FKG XP Shaper og XP Finisher

På denne måde produceres en kunstig rund form i en ikke-rund kanal. Når vi bruger en rund fil, fylder vi desuden de ikke-runde dele af kanalen med debris, hvilket yderligere hindrer vores evne til at kontrollere bakterierne i kanalen. Det stigende pres på kanalvæggene disponerer desuden potentielt roden for en fremtidig rodfraktur. Dette er nogle af manglerne ved den nuværende nikkel-titan-teknologi.
For nylig er instrumenter, udviklet til at fjerne kanalindholdet tredimensionelt, blevet inkluderet i det endodontiske instrumentarium. Desuden fjerner disse revolutionerende instrumenter så lidt sundt væv som muligt. (XP-3D Shaper ™ / Finisher, FKG Dentaire, Schweiz).

XP-3D Shaper blev designet til at skabe en basal form af kanalen, hvor rodkanalens oprindelige anatomi respekteres, og hvor debris ikke pakkes ind i uberørte områder. XP-3D Finisher (”3D-rengøringsfilen”) har en udvidelseskapacitet på mindst 3 mm og berører dermed selv de største kanaldiametre uden at kanalens oprindelige form ændres.
I casen, der er præsenteret i videoen herunder, bliver en endodontisk behandling udført af tand nr. 37 under anvendelse af den ekspanderbare XP-teknologi.
I henhold til vejledningen er der først lavet en glidepath ved hjælp af en manuel K-fil ISO10 og 15 og herefter fortsætter behandlingen med XP-filene.

XP Shaper-filen bliver justeret til korrekt arbejdslængde og indsat i kanalen for at nå rodmålet i 3-5 lange op-/nedbevægelser. Herved udvides kanalen til en størrelse 30/.01. Som næste trin introduceres XP Shaper-filen i kanalen igen, og der udføres 15 lange op-/nedbevægelser. Dette gør det muligt for filen at udvide sig til en størrelse på minimum 30/.04. Herefter testes om en guttaperkapoint 30/.04 passer til rodmål. En 3D-rengøring af de uberørte områder i kanalerne udføres ved hjælp af XP Finisher-filen i lange op-/nedbevægelser i 1 minut pr. kanal. Som et sidste trin – efter tørlægning af kanalerne - udføres rodfyldning med en enkelt guttaperkapoint og den biokeramiske sealer TotalFill (FKG Dentaire, Schweiz). Slutteligt bliver der udboret til stift i den distale kanal og der gøres klar til rodstift og opbygning.
Kort og godt er XP-3D Shaper og Finisher instrumenter, der effektivt kan instrumentere kanalens naturlige form og mindske den resterende bakterieflora, inden rodkanalen fyldes. Af lige så stor betydning er det, at den forbedrede 3D-rengøring udføres uden at sund rodstruktur ofres, hvorved tandens styrke og integritet og i sidste ende funktionalitet bevares.
Dr. Spyros Floratos
Specialist i endodonti og mikrokirurgi. I dag er han assisterende professor ved afdelingen for endodonti på University of Pennsylvania.