Kursus på klinikken
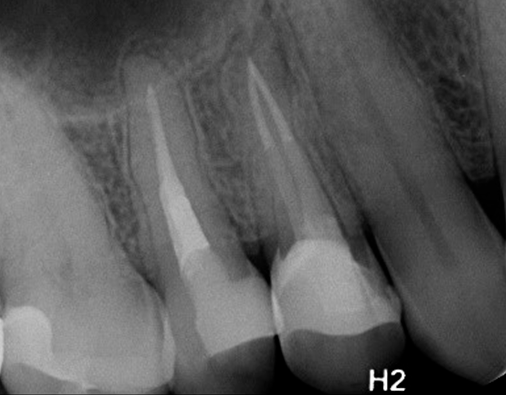
Den perfekte rodfyldning
Den perfekte rodfyldning... eller næsten.
Kom med på en workshop i rodfyldning med varm, flydende guttaperka - Continuous Wave of Condendation Technique.
Med denne teknik laves der et apikalt plug med en masterpoint der varmes ned til 4-6 mm. Derefter fyldes rodkanalen med flydende guttaperka med backfill teknik.
Workshoppen er både for klinikker, der vil stifte nærmere bekendtskab med rodfyldning med varm guttaperka, men også for de klinikker, som har systemet, og som gerne vil have en brush-up.
Efter kurset har du helt styr på
- De mest brugte teknikker - og fordele og ulemper ved dem
- Elements IC-systemet
- Continuous Wave of Condensation-teknikken
Desuden indeholder kurset masser af hands-on på plast-demoblok samt tips og tricks.
Praktisk information om kurset
Pris
Gratis
Tid og sted
På klinikken
Målgruppe
Hele klinikken
Kursusgiver
I samarbejde med producent - afhængig af klinikkens præferencer
Kursustimer
45-60 minutter
Tilmelding
Kontakt vores kursusansvarlige Kristine Kyhl Schou 👇
Billeder venligst udlånt af tandlæge Thomas Hedegaard.
Om kurser på klinikken
Vi kommer ud til jer på klinikken med et specialdesignet kursus, der er tilpasset netop jeres ønsker og behov.
Kursets underviser kan variere imellem kendte kursusgivere, Nordentas specialister og udvalgte producenter.
Vil du høre mere?
Kontakt Kristine Kyhl Schou, hvis du har spørgsmål til vores kurser på klinikken.
 
    Kristine Kyhl Schou
kks@nordenta.dk
26 88 06 00
 
         
            